স্ট্রোক পরবর্তী মানসিক সমস্যা
‘আমি হলাম জ্বীনের হুজুর’
ডা. সাঈদ এনাম
প্রকাশ: ০১ মে ২০২১, ১১:০২ এএম
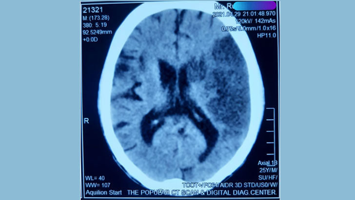
সেই রোগীর সিটিস্ক্যানের ছবি
|
ফলো করুন |
|
|---|---|
আরমান (ছদ্মনাম) দুদিন আগে তারাবির নামাজ পড়ার সময় হঠাৎ করে সিজদা থেকে আর উঠে না।
সালাম ফিরিয়ে সবাই অবাক, 'কী হলো, কী হলো'। সিজদারত কাউকে তোলা ঠিক কিনা-এ বিষয়ে মতো মুসল্লিদের কোনো পরিষ্কার ধারনা না থাকে সবাই ইমাম সাহেবকে ডাকলেন। তিনি জিজ্ঞাস করলেন ছেলেটির নাম কি? পাশে তার বন্ধু বললো আরমান হুজুর।
হুজুর বিনীতভাবে ডাকলেন, 'আরমান উঠো আমি সালাম ফিরিয়ে নিয়েছি, নামাজ শেষ। তুমি শুনোনি?'।
আরমান সিজদাহ্ থেকে আর উঠলো না। কয়েকজন জোরজবরদস্তি করে ধরাধরি করে তাকে উঠাতে গেলেন। এতেই বাধলো বিপত্তি।
আরমান সবাইকে গালিগালাজ, কিল ঘুষি লাথি, যা পারে নগদ নগদ বসিয়ে দিলো। কেবল হুজুরকে ছাড়া।
হুজুরের দিকে তেড়ে এসে পোড়া ইটের মতো চোখ দুটো লাল করে বললো, 'আপনি হুজুর, আর আমি হলাম বড় হুজুর। আমি জ্বীনদের হুজুর। আমাকে আপনি ঘাটাবেন না। যান আপনার কাজে যান, নামাজ পড়ান। আমার অনেক কাজ আছে। আমি এক মিশন নিয়ে এসেছি। তবেই যাবো'।
একথা বলেই সে আবার সিজদায় পড়ে রইলো। এবার সে আর পশ্চিম দিকে সেজদা নয়, সোজা উত্তর দিকে। তার কাপড়ও ঠিক নেই!
আরমানের এমন ধমক আর মারধোরে সবাই হীমশিতল। 'জ্বীনের হজুরের' সাথে তারা বেয়াদবি করে ফেলেছে। না জানি কী হয়।
কিল ঘুষি খেয়ে যারা পড়েছিলো তারা তাদের আউলা ঝাউলা লুঙ্গি আর পাঞ্জাবি কোনো মতে ঠিকঠাক জায়গা মতো টাইট দিতে দিতে জপতে শুরু করলো 'লা ইলাহা ইল্লা আন্তা সুবহানাকা ইন্নি কুনতু মিনায যোয়াললিমিন'।
দু'য়েকজন আবার আরমানের পা ধরে কাঁদতে লাগলো-'ও আমাদের 'আরমান বাবা' ও 'জ্বীনের হুজুর বাবা' আমাদের বেয়াদবি মাফ করে দেন, আমরা আপনার গায়ে হাত দিয়েছি...আমরা নাবালক বুঝিনি বাবা...'।
উত্তর দিকে সিজদায় লুটিয়ে পড়ে দেখে হুজুর এবার একটু দম নিলেন তারপর সবাইকে নির্দেশ দিলেন, 'একে বাঁধো, মসজিদে আটকে রাখো। নামাজ শেষে এর জ্বীনের সওয়াল জবাব হবে'।
কেউ সাহস না করায় হুজুর, মুয়াজ্জিন সাহেবকে ডাকলেন। তারা দুজনে মিলে আরমানকে বাঁধতে গেলে আরমান দিলো ভুঁ-দৌড়। তার পিছে পিছে ধর ধর বলে ছুটলেন জনা বেশেক মুসল্লি। অনেকটা টম অ্যান্ড জেরির মতো চললো ধর-ধর খেলা।
প্রায় মাইল দুয়েক দৌড়ে আরমানকে ধরা হয়েছে। ও প্রচণ্ড ভায়োলেন্ট। ফের বেঁধে ওকে মসজিদে আনা হলো।
তখন হুজুর বাকি মুসল্লিদের নিয়ে তারাবীহ শেষ করে আরমানের অপেক্ষাই করছিলেন।
এ রহস্যময় ঘটনা আবার মুহূর্তের এ গ্রাম থেকে ও গ্রামে ছড়িয়ে পড়লে তিনি গ্রামের মুসল্লিতে মসজিদ আঙিনা ঠাসা।
হুজুর আরমানকে তিনবার 'সূরা ইখলাস', 'সূরা নাস' আর 'সূরা ফালাক' পড়ে তিনটা ফুঁ দিলেন।
‘কখনো কারো যদি কোন বদ জ্বিনের নজর হয় তবে অজু পড়ে পবিত্র হয়ে এই তিন সুরা পড়ে ফুঁ দিতে হয়। এতে বদ জ্বীন দূর হয়ে যায়'-উপস্থিত সবাইকে হুজুর শিখিয়ে দিলেন।
কিন্তু ফুঁ'তে আরমানের জ্বীন গেল না। সে আরো দ্বিগুণ শক্তি নিয়ে 'গুতগুত' করতে লাগলো রেসলার 'জন সিনা'র মতো।
হুজুর বললেন, 'আমি তো ফুঁ দিলাম খারাপ কিছু থাকলে চলে যাবে, আপনারা ওকে ব্রেইনের ডাক্তারের কাছে নিয়ে যান। 'গতরের ছতর' উড়িয়ে, উত্তর দিকে সিজদা যে করে সে কখনও 'জ্বীনের হুজুর' হতে পারে না। ব্রেইনে সমস্যা হবে।’
আরমানের কবিরাজ, পাগলা বাবার তাবিজ, ল্যাংটা বাবা পানি পড়া ইত্যাদি অপচিকিৎসা করে ঘটনার প্রায় তিনদিন পর আমার কাছে আনা।
আরমানের ডিটেইলস হিস্ট্রিটা আমার কাছে খানিকটা ব্যতিক্রম লাগলো। ওর বয়স পঁচিশ, তাগড়া যুবক, পূর্বে কখনই মানসিক সমস্যা দেখা দেয়নি, কোন স্ট্রেস নেই, প্রেম বিয়ে মনোমালিন্য বা লেখাপড়া নিয়ে, এমনকি পরিবারের কারো কোনো মানসিক সমস্যা নেই।
তার প্রেজেন্টেশন ব্রেইনের 'বাইপোলার ম্যানিক ফার্স্ট এপিসোড' রোগটার হলেও একটু খটকা লাগলো।
বললাম, 'ওকে দুটো ঔষধ এবং ইনজেকশন দিলাম এবং বললাম আর্জেন্ট ওর একটা সিটিস্ক্যান করে নিয়ে আসুন। আমার কাছে অন্য কিছু ঠেকছে।
জরুরিভাবে মৌলভীবাজার থেকে ওর সিটিস্ক্যান করে ঘন্টা দুয়েকের মধ্যেই আনলেন।
সিটি স্ক্যানের ফিল্মে আমার চোখ আটকে রইল। আমার থিসিসের সাবজেক্ট ছিল স্ট্রোক পরবর্তী মানসিক সমস্যা। আমার এই ইন্টারেস্টিং গবেষণা আমি ইউরোপ, আমেরিকা, জাপান, নিউজিল্যান্ড সহ বিশ্বের বেশ কিছু দেশের সায়েন্টিফিক সেমিনারে প্রেজেন্ট করি।
আরমানের সমস্যাটাও তাই। স্ট্রোকের পর মানসিক সমস্যা। সেই রাতে আরমানের ব্রেইনের গুরুত্বপূর্ণ একটি রক্তনালীর রক্ত চলাচল (LMCA-Left Middle Cerebral Artery block) বন্ধ হয়ে বিশাল বড়ো সড়ো একটা স্ট্রোক হয়েছে। এ রকম বয়সে স্ট্রোক ব্যতিক্রম আর এই প্রেজেন্টেশন অতি বিরল।
দেরিতে আসা আর অপচিকিৎসায় আরমানের বেঁচে থাকা খানিকটা ঝুঁকিপূর্ণ এখন।
লেখক: ডা. সাঈদ এনাম
সহকারী অধ্যাপক (সাইকিয়াট্রিস্ট), সিলেট এমএজি ওসমানী মেডিকেল কলেজ, সিলেট
